Chấn thương thủng phổi do mảnh gãy của xương sườn
Sáng nay 1/4, Bệnh viện Đa khoa Trung ương Quảng Nam thông tin, đơn vị vừa phẫu thuật nội soi khoang màng phổi hoàn toàn cứu sống một bệnh nhân nam 63 tuổi do tai nạn giao thông gây chấn thương thủng phổi vì mảnh gãy của xương sườn.

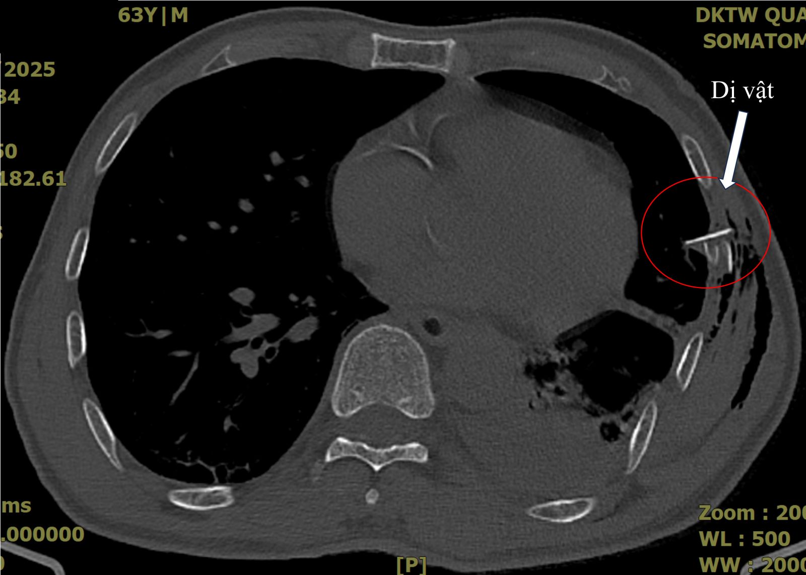
Hình ảnh chụp cắt lớp ngực của bệnh nhân V.Đ.Q. ghi nhận tràn khí, tràn máu màng phổi với một mảnh xương sườn đâm vào nhu mô phổi.
Theo đó, nam bệnh nhân V.Đ.Q. (63 tuổi, trú xã Tam Hòa, huyện Núi Thành, tỉnh Quảng Nam) vào viện với tình trạng đau ngực sau chấn thương do tai nạn giao thông, bên ngoài hoàn toàn không có vết thương, chỉ có vết xây sướt nhẹ ngoài da.
Sau đó, bệnh nhân có cơn đau ngực tăng dần, đau không dám thở, trong tình trạng suy hô hấp, hình ảnh X-quang phổi chưa ghi nhận bất thường khác ngoài gãy các xương sườn VI, VII, VII. Bệnh nhân được chụp cắt lớp ngực và ghi nhận tràn khí, tràn máu màng phổi với một hình ảnh mảnh xương sườn đâm vào nhu mô phổi.
Bệnh nhân được hội chẩn để phẫu thuật cấp cứu. Sau hơn 1 giờ phẫu thuật nội soi khoang màng phổi hoàn toàn, mảnh xương sườn gãy vụn đã được lấy ra, vết thủng ở nhu mô phổi đã được khâu kín, máu được cầm và khoang màng phổi được làm sạch. Người bệnh ổn định và xuất viện sau 5 ngày điều trị.

Bệnh nhân được phẫu thuật nội soi khoang màng phổi hoàn toàn, mảnh xương sườn gãy vụn được lấy ra.
BSCKII. Dương Chí Lực, Trưởng phòng Kế hoạch tổng hợp, Bệnh viện Đa khoa Trung ương Quảng Nam chia sẻ, phổi là cơ quan hô hấp chính của cơ thể cùng với khí quản và phế quản thực hiện chức năng trao đổi oxy, đảm bảo nuôi sống các tế bào trong cơ thể. Phổi nằm trong lồng ngực và được bảo vệ bởi khoang lồng ngực với 12 đôi xương sườn.
“Như trường hợp trên, khi xương sườn gãy gây xuyên thủng phổi. Do động tác hô hấp co giãn làm vết rách phổi mỗi lúc càng rộng hơn, phổi có nhiều vết đâm, tổn thương càng nghiêm trọng, máu chảy nhiều sẽ nguy hiểm đến tính mạng nếu không được cấp cứu kịp thời” – Bác sĩ Lực khuyến cáo thêm.










