PHÒNG TRÁNH BỆNH SỞI TRONG CỘNG ĐỒNG – NHỮNG KIẾN THỨC CƠ BẢN CẦN BIẾT
Bệnh sởi là một bệnh truyền nhiễm cấp tính do vi rút gây ra, bệnh chủ yếu gặp ở trẻ em dưới 3 tuổi, nhưng người lớn vẫn có thể mắc phải khi chưa được tiêm vaccin hoặc có tiêm nhưng không đầy đủ. Bệnh Sởi rất dễ lây lan nhanh trong cộng đồng và trở thành dịch. Mặc dù bệnh có thể tự thoái lui sau một thời gian nhưng có thể nặng lên và gây ra nhiều biến chứng nguy hiểm.
Nguyên nhân gây bệnh Sởi
Vi rút Sởi thuộc loại Morbilivirus của họ paramyxoviridae. Theo Tổ chức Y tế Thế giới (WHO), vi rút Sởi được phân thành 8 nhóm (A-H) và 23 kiểu gen.
Đường lây truyền bệnh Sởi
Sởi lây qua đường không khí, giọt bắn hoặc tiếp xúc trực tiếp với dịch tiết hô hấp.
Triệu chứng bệnh Sởi
Diễn biến lâm sàng thể điển hình qua 4 giai đoạn:
- Giai đoạn ủ bệnh: từ 7 đến 21 ngày (trung bình 10 ngày), triệu chứng xuất hiện sau khi phơi nhiễm 10-14 ngày.
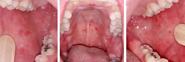
- Giai đoạn khởi phát (giai đoạn viêm long): trong 2 - 4 ngày. Trong giai đoạn này người bệnh sốt cao (trên 390C), có thể có biểu hiện triệu chứng ho, sổ mũi (viêm long đường hô hấp trên) hoặc viêm kết mạc mắt hoặc có tiêu chảy Ở giai đoạn này có thể thấy hạt Koplik là các hạt nhỏ có kích thước 0,5 - 1 mm màu trắng/xám có quầng ban đỏ nổi gồ lên trên bề mặt niêm mạc má (phía trong miệng, ngang răng hàm trên). Hạt Koplik thường xuất hiện một ngày trước phát ban và tồn tại 2 - 3 ngày sau khi ban xuất hiện.

Khuôn mặt của trẻ mắc sởi. (Nguồn: Internet)

Hạt koplik (Nguồn: Internet)
- Giai đoạn toàn phát: Kéo dài 2 - 5 ngày. Thường sau khi sốt cao 3 - 4 ngày người bệnh bắt đầu phát ban dạng dát sẩn, khi căng da thì ban biến mất, xuất hiện từ sau tai, sau gáy, trán, mặt, cổ dần lan đến thân mình và tứ chi, cả ở lòng bàn tay và gan bàn chân. Ban có thể hợp lại đặc biệt là ở vùng mặt và thân mình. Khi ban mọc hết toàn thân thì thân nhiệt giảm dần.

Ban Sởi (Nguồn: Internet)
- Giai đoạn hồi phục: Ban nhạt màu dần rồi sang màu xám, bong vảy phấn sẫm màu, để lại vết thâm vằn da hổ và biến mất theo thứ tự như khi xuất hiện. Nếu không xuất hiện biến chứng thì bệnh tự khỏi. Có thể có ho kéo dài 1 - 2 tuần sau khi hết ban.
Chú ý: Đôi khi bệnh Sởi cũng có những biểu hiện không điển hình như trên, có thể chỉ là sốt nhẹ thoáng qua, viêm long nhẹ và phát ban ít, toàn trạng không có gì thay đổi. Thể này dễ bị bỏ qua, dẫn đến lây lan bệnh cho mọi người xung quanh mà không biết.
Phát hiện và nghi ngờ bệnh Sởi trong cộng đồng:
- Phơi nhiễm bệnh Sởi: Khi tiếp xúc người bệnh đã chẩn đoán Sởi trong vòng 4 ngày trước hoặc sau phát ban, thuộc một trong các tình huống sau:
+ Tiếp xúc trực tiếp (mặt đối mặt) khoảng cách gần dưới 1 mét, bất kể thời gian tiếp xúc
+ Ở chung phòng với người bệnh ít nhất 15 phút. Đối với người có suy giảm miễn dịch thì không có tiêu chuẩn thời gian tiếp xúc hoặc vào phòng của người bệnh mới rời khỏi phòng trong vòng 2 giờ.
+ Sống trong vùng có công bố dịch Sởi.
- Nghi ngờ bệnh Sởi: Khi xuất hiện các triệu chứng như sốt cao, có viêm long đường hô hấp (ho, nhảy mũi), viêm kết mạc mắt và xuất hiện các hạt Koplik trong miệng. Đây chính là giai đoạn khởi phát.
Khi có nghi ngờ mắc bệnh Sởi: Thực hiện xét nghiệm huyết thanh học IgM từ ngày thứ ba sau khi phát ban. Nếu âm tính nhưng vẫn chưa loại trừ bệnh Sởi. Khi đó người bệnh được xét nghiệm lại sau 72 giờ hoặc chỉ định xét nghiệm PCR dịch hầu họng.
Biến chứng của bệnh Sởi
- Viêm phổi: là biến chứng nặng nhất, thường ở những người có bệnh nền viêm đường hô hấp trước đó, hoặc suy dinh dưỡng, hoặc suy giảm hệ miễn dịch, hoặc chủ quan không đi khám để được theo dõi và điều trị.
- Biến chứng Tai – Mũi – Họng: Viêm tai giữa cấp, viêm xoang, có thể có áp xe sau họng liên quan đến Sởi.
- Biến chứng tiêu hóa: Tiêu chảy và nôn mửa gây mất nước và điện giải.
- Biến chứng thần kinh: Co giật do sốt cao, viêm não do Sởivới biểu hiện: co giật, lơ mơ, kích thích vật vã, hôn mê.
- Khởi phát bệnh lao: Ở những bệnh nhân đang nhiễm lao tiềm ẩn. Sở có thể làm tăng nguy cơ kích hoạt bệnh lao phổi.
- Nhiễm trùng huyết: rất nặng, có thể dẫn đến sốc nhiễm khuẩn.
- Biến chứng khác: phụ nữ mang thai bị sởi có thể bị sảy thai, thai lưu, đẻ non hoặc trẻ bị nhẹ cân, hoặc thai nhiễm sởi tiên phát
Yếu tố nguy cơ bệnh diễn tiến nặng
- Trẻ < 12 tháng.
- Người chưa tiêm phòng vắc xin hoặc tiêm không đầy đủ.
- Suy giảm miễn dịch bẩm sinh hoặc mắc phải.
- Bệnh nền nặng.
- Suy dinh dưỡng nặng.
- Thiếu vitamin A.
- Phụ nữ mang thai.
Điều trị bệnh Sởi
Nguyên tắc điều trị:
- Điều trị theo phân loại và sàng lọc người bệnh Sởi hoặc nghi ngờ Sởi
- Cách ly ca bệnh ngay khi nghi ngờ mắc Sởi
- Uống vitamin A liều cao
- Điều trị triệu chứng
- Phát hiện và điều trị sớm các biến chứng
- Đảm bảo dinh dưỡng
- Không sử dụng corticoid đường toàn thân khi chưa loại trừ Sởi
Điều trị cụ thể:
- Vệ sinh da, mắt, miệng họng: không sử dụng các chế phẩm có corticoid.
- Tăng cường dinh dưỡng.
- Hạ sốt:
+ Áp dụng các biện pháp hạ nhiệt vật lý như lau nước ấm, chườm mát.
+ Dùng thuốc hạ sốt paracetamol khi sốt cao.
- Bồi phụ nước, điện giải qua đường uống. Chỉ truyền dịch duy trì khi người bệnh nôn nhiều, có nguy cơ mất nước và rối loạn điện giải.
- Bổ sung vitamin A:
+ Trẻ dưới 6 tháng: uống 50.000 đơn vị/ngày x 2 ngày liên tiếp.
+ Trẻ 6 - 11 tháng: uống 100.000 đơn vị/ngày x 2 ngày liên tiếp.
+ Trẻ trên 12 tháng và người lớn: uống 200.000 đơn vị/ngày x 2 ngày liên tiếp.
Trường hợp có biểu hiện thiếu vitamin A hoặc có biến chứng: lặp lại liều trên sau 4 - 6 tuần
Phụ nữ trong độ tuổi sinh sản nghi ngờ thiếu vitamin A: thận trọng khi bổ sung Vitamin A vì các tác dụng phụ lên thai nhi, chỉ bổ sung tại các cơ sở y tế chuyên khoa.
Điều trị tại nhà: Người bệnh được theo dõi và điều trị tại nhà nếu được chẩn đoán là bệnh Sởi và phải đảm bảo đầy đủ các yếu tố sau:
- Không có biến chứng (hô hấp, tai mũi họng, thần kinh, tiêu hoá …)
- Tuân thủ các chỉ định của bác sỹ về điều trị tại nhà.
- Đảm bảo các điều kiện để cách ly:
+ Có ý thức tuân thủ nguyên tắc phòng lây nhiễm: khẩu trang, khử khuẩn, khoảng cách, hạn chế tiếp xúc, sử dụng vật dụng cá nhân riêng, và thường xuyên duy trì kênh liên lạc với nhân viên y tế.
+ Có không gian, phòng riêng để đảm bảo cách ly.
Dự phòng
- Đối với người mắc bệnh Sởi:
+ Hạn chế tiếp xúc tại nhà hoặc tại cơ sở điều trị theo nguyên tắc cách ly đối với bệnh lây truyền qua không khí, giọt bắn hoặc tiếp xúc trực tiếp với dịch tiết đường hô hấp.
+ Thời gian hạn chế tiếp xúc từ lúc nghi mắc Sởi cho đến ít nhất 4 ngày sau khi bắt đầu phát ban. Đối với người suy giảm miễn dịch, cân nhắc thời gian cách ly dài hơn. Người bệnh nằm phòng thoáng, thông khí tốt.
+ Không tham gia các sinh hoạt tập thể.
+ Đảm bảo dinh dưỡng, nâng cao thể trạng để tăng sức đề kháng giảm bớt nguy cơ biến chứng.
- Người chưa mắc bệnh Sởi
+ Mang khẩu trang và vệ sinh tay sau khi tiếp xúc với người bệnh.
+ Nhân viên y tế: cần được tiêm phòng Sởi đầy đủ nếu không có chống chỉ định.
+ Phòng bệnh chủ động bằng vắc xin Sởi: Sử dụng vắc xin Sởi đơn hoặc vắc xin có thành phần Sởi kết hợp rubella hoặc kết hợp với quai bị và rubella. Lịch tiêm theo chương trình Tiêm chủng mở rộng. Tiêm vắc xin phòng Sởi cho các đối tượng khác hoặc khi có đợt bùng phát dịch Sởi theo khuyến cáo và hướng dẫn của từng địa phương.
- Dự phòng sau phơi nhiễm: Nhóm phơi nhiễm lưu ý cần đi khám và khai báo trung thực để được truy vết và được theo dõi, giám sát cẩn thận.
- Dự phòng chung
+ Vệ sinh môi trường: Giữ thông thoáng môi trường nơi làm việc, học tập, sinh hoạt; + Vệ sinh thường xuyên các bề mặt nơi ở, sinh hoạt, làm việc, học tập. Khi có người bệnh Sởi xuất hiện, sử dụng hoá chất khử khuẩn có nồng độ clo hoạt tính 0,05% để vệ sinh các bề mặt.
+ Tuyên truyền tăng cường vệ sinh thân thể, mũi họng, giữ ấm, nâng cao thể trạng để tăng cường sức đề kháng, đặc biệt trong mùa dịch Sởi.
Tóm lại: Bệnh Sởi là một bệnh lây nhiễm, có thể bùng phát thành dịch. Mặc dù bệnh có thể tự khỏi nhưng nhiều trường hợp nếu không được theo dõi và điều trị đúng cách thì sẽ để lại các biến chứng nghiêm trọng, đặc biệt là ở những người có sức đề kháng kém, trẻ em, người già, người có nhiều bệnh nền. Vì thế, việc phát hiện sớm để kịp thời cách ly và điều trị có ý nghĩa vô cùng quan trọng.
Bên cạnh đó, công tác phòng bệnh là phương thức cần thiết, trong đó vắc xin luôn là một biện pháp phòng ngừa hiệu quả nhất. Vì thế mọi người cần phải nâng cao nhận thức về tầm quan trọng của việc tiêm phòng nói riêng, tăng cường ý thức chủ động phòng bệnh nói chung, đây chính là chìa khoá vàng để bảo vệ chính bản thân mình, bảo vệ người thân và bảo vệ cộng đồng tránh bị lây nhiễm với bệnh Sởi.
Phòng KHTH – Bệnh viện Đa khoa Trung ương Quảng Nam










