Nút mạch hóa chất trị u gan & nguy hại của ung thư tế bào gan
(BVTWQN) - Gan là "nhà máy lớn nhất" của cả hệ thống tiêu hóa và cả cơ thể, gan đóng vai trò tối quan trọng, do đó bất kỳ tổn thương nào từ gan đều ảnh hưởng rất lớn đến các cơ quan khác. Điều đáng lo ngại chính là ung thư gan lại chiếm một trong các ung thư có tỷ lệ cao nhất tại Việt Nam.

Hãy cùng các bác sĩ Chuyên khoa Ngoại tổng hợp, Bệnh viện Đa khoa Trung ương Quảng Nam tìm hiểu về nút mạch hóa chất điều trị u gan và mối nguy hại của ung thư biểu mô tế bào gan.
- NÚT MẠCH HÓA CHẤT ĐIỀU TRỊ U GAN: TACE (Transaraterial Chemoembolization)
Nút mạch hoá chất khối u gan (trans-arterial chemo-embolization - TACE) là một thủ thuật y tế ít xâm lấn để làm suy yếu và tiêu diệt tế bào khối u bằng cách hạn chế việc cung cấp máu cho nó. Hiện nay, kĩ thuật TACE đã được áp dụng cho nhiều bệnh nhân ung thư biểu mô tế bào gan tại khoa Ngoại Tổng Hợp, Bệnh viện Đa khoa Trung ương Quảng Nam, giúp họ kéo dài tỷ lệ thời gian sống sót và tiến đến triệt căn trên bệnh nhân.

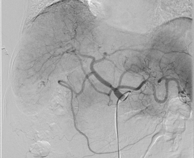
Chụp kiểm tra toàn bộ động mạch thân tạng.
Đối với một số trường hợp, TACE được xem là phương pháp tối ưu và điều trị triệt căn U gan qua nhiều lần thực hiện và phối hợp các phương pháp điều trị khác.


CT khối u gan.
Bác sĩ sẽ tạo một lối vào nhỏ trên cơ thể người bệnh để tiếp cận động mạch đùi hoặc cổ tay, sau đó luồn ống thông trong lòng động mạch, tiếp cận khối u ở gan. Dưới sự dẫn đường của hệ thống máy chụp mạch DSA, bác sĩ tiến hành bơm hỗn hợp vật liệu tắc mạch vào khối u. Hỗn hợp này gồm chất tắc mạch giúp ngắt nguồn máu nuôi dưỡng u, kết hợp với hóa chất trị liệu giúp diệt khối u.

- MỐI NGUY HẠI CỦA UNG THƯ BIỂU MÔ TẾ BÀO GAN (HCC)
Ung thư biểu mô tế bào gan (hepatocellular Carcinima – HCC) chiểm từ 75% đến 85% ung thư gan nguyên phát, là một bệnh lý ác tính gây tỷ lệ tử vong cao trên thế giới. Đây là loại ung thư phổ biến nhất tại các quốc gia Đông Á, Đông Nam Á và Tây-Bắc Phi, nằm trong sáu loại ung thư phổ biến nhất trên thế giới và nằm trong ba loại ung thư phổ biến nhất tại Việt Nam. UTBMTBG đứng đầu trong các nguyên nhân tử vong liên quan đến ung thư tại Việt Nam.

Các yếu tố nguy cơ chính của HCC bao gồm: Viêm gan Virus B (HBV), Viêm gan virus C (HCV), rượu, bệnh gan nhiễm mỡ không do rượu (NAFLD) và nhiễm độc tố aflatoxin có trong nấm mốc.

Các phương pháp điều trị: (tiếp cận và điều trị đa chuyên khoa - đa phương án)
- Phẫu thuật cắt phần gan chứa U.
- Ghép gan.
- Phá hủy (đốt) u tại chỗ bằng sóng cao tần (Radiofrequency ablation- RFA) hoặc vi sóng (Microwave ablation- MWA).
- Nút mạch hóa chất (Transaraterial Chemoembolization- TACE)
Với đội ngũ y bác sĩ có trình độ chuyên môn cao, có các chuyên gia hàng đầu trong lĩnh vực Tiêu hóa- Gan mật tụy, cùng hệ thống máy móc hiện đại, việc ứng dụng phương pháp phẫu thuật cắt gan chứa U, nút mạch hóa chất… tại Bệnh viện Đa khoa Trung ương Quảng Nam đã góp phần nâng cao chất lượng cuộc sống của những người bệnh, mang lại cuộc sống khỏe mạnh, vui tươi cho từng người dân.
Chuyên môn: Khoa Ngoại tổng hợp-BVĐKTWQN
—---------------------
♻️ Quý khách hàng có nhu cầu đặt lịch hẹn khám bệnh hoặc cần giải đáp thắc mắc về các dịch vụ thăm khám, vui lòng liên hệ bằng các hình thức:
☎️ Tư vấn, đặt hẹn: 1900561511 hoặc 0977132208 - Gặp chị Kiều - Phụ trách Điều dưỡng trưởng Khoa Khám bệnh.
💬 Inbox Fanpage: https://www.facebook.com/bvdktuqn
—-----------------
BỆNH VIỆN ĐA KHOA TRUNG ƯƠNG QUẢNG NAM
⛳️Đ/c: Tam Hiệp, Núi Thành, Quảng Nam
☎️ Hotline: 1900561511
🔵 Zalo OA: https://zalo.me/1675055557054703361
🌐 Website: http://www.bvtwqn.vn
🎥 Youtube: https://www.youtube.com/@BVDKTrunguongQuangNam
💠Fanpage: https://m.facebook.com/bvdktuqn














