Giúp nhiều bệnh nhân thoát khỏi cảnh cắt cụt chi nhờ phương pháp đặt Stent lòng mạch
Giúp nhiều bệnh nhân thoát khỏi cảnh cắt cụt chi nhờ
phương pháp đặt Stent lòng mạch
Trong những năm gần đây, Tại Bệnh viện Đa khoa Trung ương Quảng Nam, tỷ lệ bệnh nhân xơ vữa động mạch nhập viện ngày có xu hướng tăng thêm. Đây chính là nguyên nhân tim mạch thường gặp gây ra nhiều hệ lụy ảnh hưởng đến chất lượng cuộc sống người bệnh. Trường hợp sau là một ví dụ điển hình do xơ vữa động mạch gây ra.
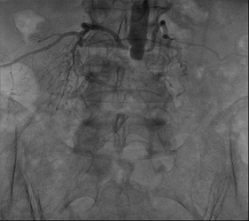
Bệnh nhân nam N.T, 68 tuổi đang sinh sống tại Mộ Đức - Quảng Ngãi, có tiền sử cắt cụt chi trái do di chứng chiến tranh vào viện điều trị với chẩn đoán tăng huyết áp khẩn. Trong quá trình điều trị và theo dõi, bác sỹ điều trị nghi ngờ bệnh nhân bị tắc mạch chi nên đã cho chỉ định siêu âm và chụp CT Scan, kết quả cho thấy bệnh nhân bị xơ vữa, tắc hoàn toàn động mạch chủ bụng và động mạch chậu chung hai bên. Đây là động mạch lớn, cung cấp máu cho 2 chi dưới..
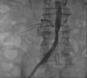
Trước nguy cơ cắt cụt chi nếu không tái thông mạch máu nuôi dưỡng mà trực tiếp là động mạch chậu chung; bệnh nhân N.T. được ekip các bác sĩ tiến hành can thiệp đặt stent động mạch chậu chi dưới qua da bằng ống thông động mạch. Ca can thiệp được thực hiện thành công ngoài mong đợi.
|
Trước khi đặt Sten |
Sau khi đặt Sten |
Trao đổi với chúng tôi, ông T. cùng vợ phấn khởi cho biết thêm: thời gian qua chân phải của ông luôn có biểu hiện tê, mỏi và hay lạnh bàn chân. Nay nhờ các bác sĩ phát hiện và can thiệp kịp thời nên chân tôi đã hết tê và có hơi ấm trở lại. Ông chia sẻ đã từng mất chân trái do chiến tranh, nay nếu mất thêm chân phải thì sinh hoạt về sau rất khó khăn, ảnh hưởng tới cuộc sống rất nhiều.
Viêm tắc động mạch chi dưới là bệnh lý dễ bị bỏ qua do bệnh có triệu chứng không rõ ràng và thường được chẩn đoán nhầm với các bệnh lý về cơ xương khớp, bệnh do tuổi già. Do vậy, khuyến cáo người dân khi có các dấu hiệu như chân đau rát, giảm khi thòng chân; đau tăng khi đi lại giảm khi nghĩ ngơi,...nên đến khám và điều trị tại phòng khám chuyên khoa tim mạch, nhằm phát hiện sớm và điều trị kịp thời tránh cắt cụt chi.
| THÔNG TIN LIÊN HỆ
|
Phương Thảo-Bệnh viện ĐKTW Quảng Nam
















