Gắp thành công mảnh xương cá đâm thủng ruột non người bệnh nữ 68 tuổi
Chiều 16/10/2025, người bệnh Phan Thị Xuyến (68 tuổi, trú xã Núi Thành, TP. Đà Nẵng) được xuất viện sau ca phẫu thuật gắp dị vật là xương cá đâm thủng ruột non tại Bệnh viện Đa khoa Trung ương Quảng Nam.

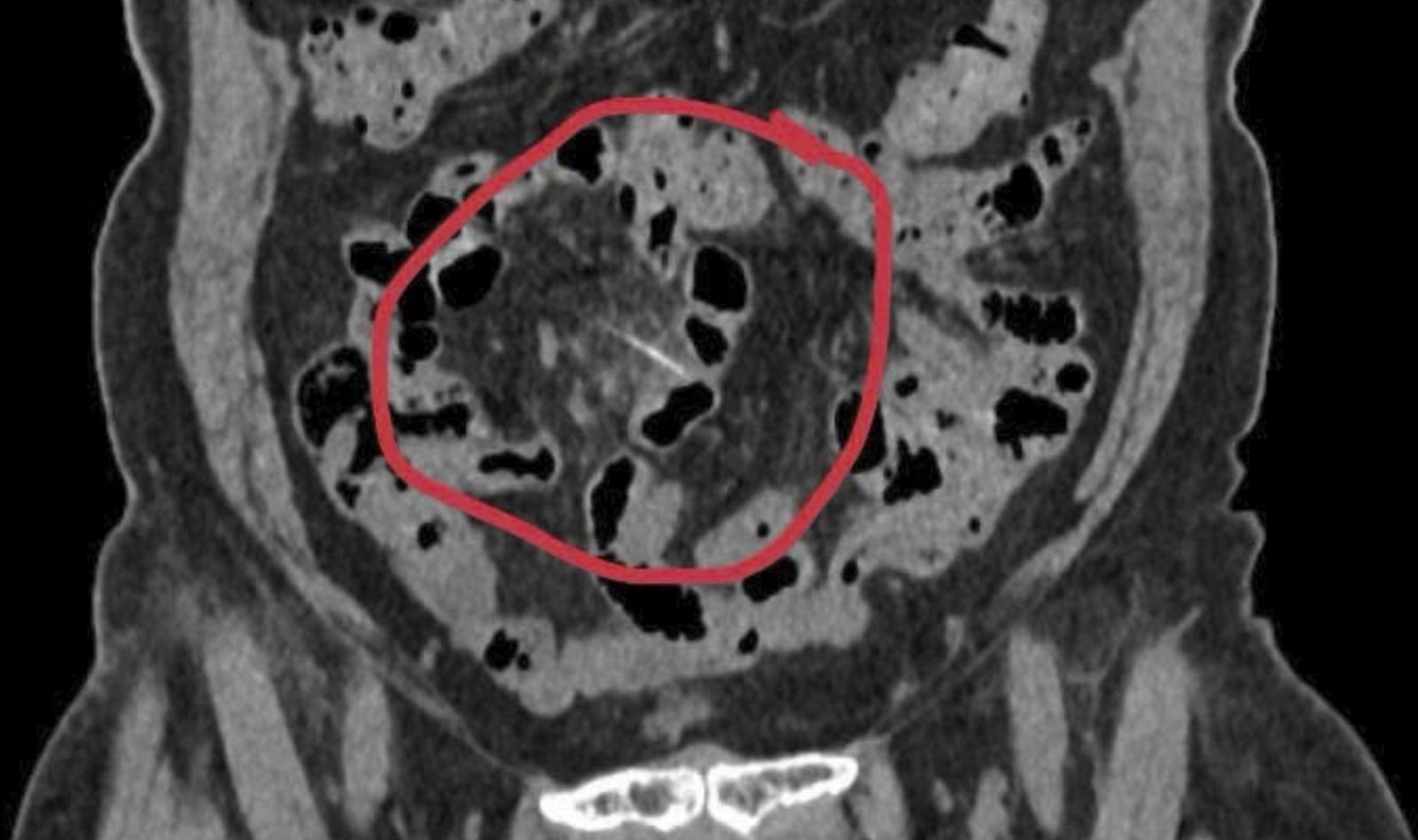
Trước đó, người bệnh Phan Thị Xuyến nhập viện khoa Cấp cứu, Bệnh viện Đa khoa Trung ương Quảng Nam trong tình trạng đau bụng âm ỉ vùng rốn lệch phải, cơn đau tăng dần. Qua thăm khám và chẩn đoán hình ảnh, các bác sĩ khoa Ngoại tổng hợp phát hiện dị vật dài khoảng 3cm nằm trong đoạn cuối ruột non – nghi là xương cá.
Ca phẫu thuật nội soi cấp cứu được tiến hành ngay, các bác sĩ đã lấy ra mảnh xương cá nhọn đâm xuyên thành ruột, xử lý ổ viêm nhiễm và khâu lỗ thủng ruột non.

Chụp cắt lớp vi tính phát hiện dị vật dài khoảng 3cm nằm trong đoạn cuối ruột non – nghi là xương cá trong ruột cô Xuyến.
BSCKI. Trần Văn Do, Trưởng khoa Ngoại Tổng hợp, cho biết: “Người dân, đặc biệt là người lớn tuổi ở các vùng ven biển, thường có thói quen ăn cá và đôi khi ăn cả phần đầu cá. Điều này làm tăng nguy cơ bị hóc hoặc nuốt phải xương cá. Nếu không được phát hiện và xử trí kịp thời, dị vật có thể di chuyển sâu, gây thủng ruột, áp xe hoặc viêm phúc mạc, đe dọa nghiêm trọng đến tính mạng người bệnh.”

Hình ảnh trong phẫu thuật gắp mảnh xương cá đối nằm trong đoạn cuối ruột non của người bệnh Xuyến.
Sau phẫu thuật hai ngày, sức khỏe người bệnh ổn định, ăn uống và đi lại bình thường. Bà Xuyến chia sẻ trong niềm xúc động: “Tôi đau bụng mấy ngày, cứ nghĩ là đau dạ dày, ai ngờ lại do xương cá. Nhờ các bác sĩ tận tình cứu chữa, tôi mới được khỏe mạnh để trở về nhà.”
Các bác sĩ khuyến cáo người dân nên ăn chậm, nhai kỹ, đặc biệt thận trọng khi ăn cá hoặc thực phẩm có xương, tránh nuốt vội gây nguy hiểm đến tính mạng.
Tin bài: Khoa Huân - Tổ CTXH
----------------------------------
Quý khách hàng có nhu cầu đặt lịch hẹn khám bệnh hoặc cần giải đáp thắc mắc về các dịch vụ thăm khám, vui lòng liên hệ bằng các hình thức:
Tư vấn, đặt hẹn: 1900561511
Inbox Fanpage: https://www.facebook.com/bvdktuqn
—------------------------------------
BỆNH VIỆN ĐA KHOA TRUNG ƯƠNG QUẢNG NAM
Đ/c: Xã Núi Thành, TP. Đà Nẵng
Hotline: 1900561511
Zalo OA: https://zalo.me/1675055557054703361
Website: http://www.bvtwqn.vn
Youtube: https://www.youtube.com/@BVDKTrunguongQuangNam
Fanpage: https://m.facebook.com/bvdktuqn














