Điều trị nhiễm khuẩn HP – Phòng tránh nguy cơ ung thư dạ dày
Vi khuẩn HP dạ dày có tên đầy đủ là helicobacter pylori. Nhiễm khuẩn HP hiện diện trong khoảng một nửa dân số thế giới, với diễn biến thường âm thầm, lặng lẽ.

Người bị viêm dạ dày hoặc viêm tá tràng mạn tính do HP thường không có triệu chứng. Nếu triệu chứng xảy ra có thể bao gồm đau vùng thượng vị, thường đau khi đói, buồn nôn, đầy bụng, khó tiêu, ăn nhanh no.
Nhiễm khuẩn HP nếu không được phát hiện và điều trị đúng cách có thể dẫn đến các vấn đề nghiêm trọng như:
- Viêm mạn tính niêm mạc dạ dày
- Loét dạ dày, tá tràng dẫn tới xuất huyết tái phát nhiều lần, thậm chí là thủng dạ dày, tá tràng.
- Phát triển thành các loại ung thư như ung thư dạ dày, u lympho B lớp niêm mạc dạ dày (MALT)…
- Người nhiễm khuẩn HP có nguy cơ mắc ung thư dạ dày cao hơn từ 5 đến 10 lần so với thông thường.

Bác sĩ đang nội soi dùng bấm sinh thiết để làm test HP.
Nhiễm vi khuẩn HP là một bệnh lý rất phổ biến, dễ lây lan, có thể phát sinh biến chứng và dễ tái phát nếu không được điều trị đúng cách. Do đó, để điều trị thành công, sự phối hợp giữa bệnh nhân và bác sĩ rất quan trọng.
Bác sĩ chuyên khoa Nội Tiêu hóa, Bệnh viện Đa khoa Trung ương Quảng Nam đưa ra một số lưu ý sau:
- Không phải ai nhiễm HP cũng đều bị viêm loét hay ung thư dạ dày: Khả năng mắc các biến chứng nghiêm trọng còn tùy thuộc vào mối tương tác giữa chủng HP bị nhiễm với đặc điểm di truyền và các thói quen ăn uống của người bệnh.
- Không nên tự điều trị HP bằng kháng sinh: Việc tự mua thuốc uống có thể sẽ làm giảm các triệu chứng tạm thời, nhưng sẽ gây nên hệ lụy, chẳng hạn như sự tiến triển âm thầm của tổn thương HP. Nó có thể dẫn đến tình trạng kháng kháng sinh khiến việc diệt trừ vi khuẩn trở nên khó khăn hơn nhiều.
Cần chú ý kiểm tra sức khỏe định kỳ: chỉ xét nghiệm và tiến hành diệt HP khi có chỉ định của bác sĩ chuyên khoa.

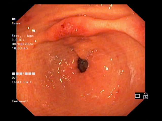
Hình ảnh nôi soi loét dạ dày với HP dương tính.
Tại Khoa Nội Tiêu hóa, Bệnh viện Đa khoa Trung ương Quảng Nam, chúng tôi cung cấp đầy đủ các Gói Khám Tầm Soát Ung Thư Dạ Dày - Đại Tràng, giúp phát hiện sớm các bệnh lý tiêu hóa, tổn thương viêm dạ dày, loét dạ dày, nhiễm vi khuẩn HP với:
- Đội ngũ bác sĩ giàu kinh nghiệm về chuyên khoa Nội tiêu hóa
- Hệ thống nội soi NBI hiện đại có thể nội soi phóng đại, nhuộm màu kết hợp sinh thiết giúp phát hiện sớm nguy cơ nhiễm khuẩn và các tổn thương nhỏ nhất ở đường tiêu hóa.
- Điều trị theo khuyến cáo của Bộ Y tế Việt Nam, Hiệp hội Tiêu hóa thế giới, Hiệp hội Tiêu hóa thế giới
- Phối hợp liên chuyên khoa cùng bác sĩ Dinh dưỡng để đưa ra phác đồ điều trị lâu dài, hạn chế tái phát, an toàn, hiệu quả nhất cho từng bệnh nhân.










