Bệnh viện điều trị ung thư gan theo từng đặc điểm của người bệnh
BVDKTWQNO - Một người đàn ông 66 tuổi mắc ung thư biểu mô tế bào gan (HCC) kèm nhiều bệnh nền nặng đã được Bệnh viện Đa khoa Trung ương Quảng Nam điều trị thành công bằng phương pháp can thiệp nút mạch hóa chất (TACE).

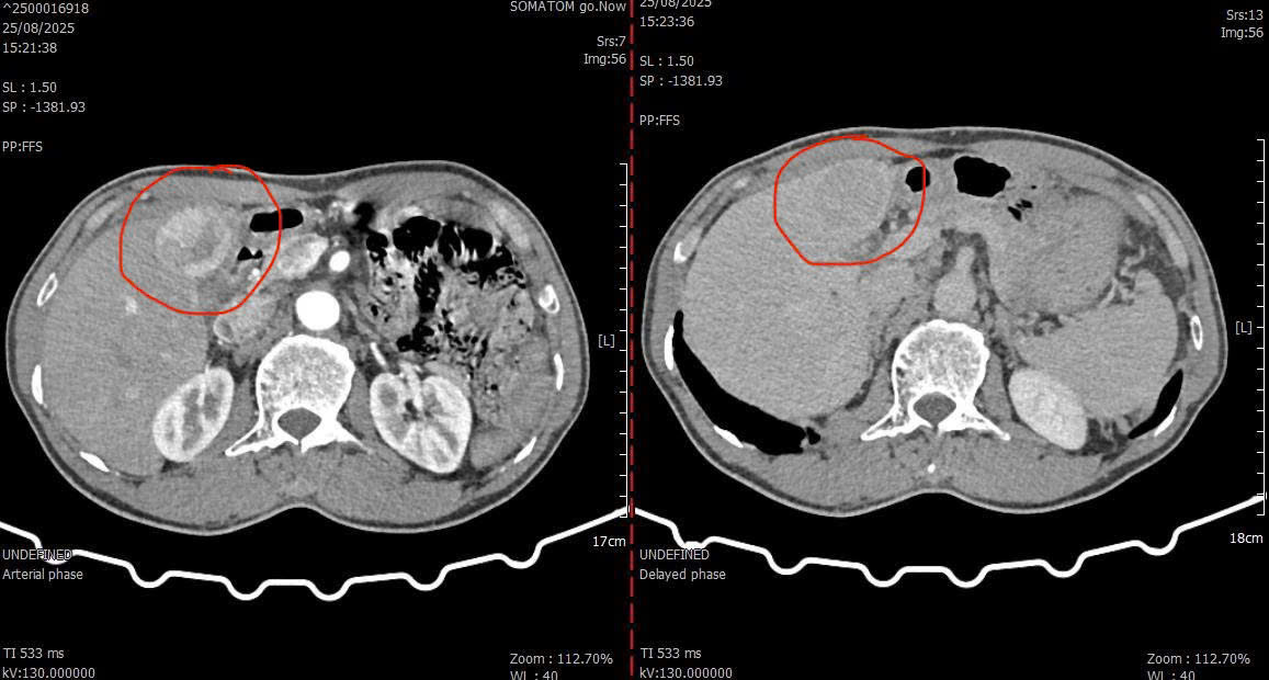
Hình ảnh khối u chụp cắt lớp vi tính trước can thiệp.
Ông T.H.C. (66 tuổi, quê xã Tam Anh, TP. Đà Nẵng) nhập viện vào ngày 28/8 trong tình trạng sức khỏe yếu, nhiều bệnh nền phức tạp gồm: bệnh phổi tắc nghẽn mạn tính (COPD), lao phổi cũ, gout, tiền sử phẫu thuật mở bụng lấy sỏi đường mật phức tạp. Trong quá trình thăm khám, bác sĩ phát hiện khối u gan hạ phân thùy IV-V, kích thước khoảng 5x6 cm, giàu mạch máu – được chẩn đoán là ung thư biểu mô tế bào gan.
Theo BSCKI. Trần Văn Do – Trưởng khoa Ngoại tổng hợp, ca bệnh có nhiều nguy cơ: “Với một người bệnh lớn tuổi, suy kiệt, lại mắc bệnh hô hấp nặng nề, việc phẫu thuật cắt gan sẽ rất rủi ro trong và sau mổ. Chúng tôi đã bàn luận với nhau và đưa ra lựa chọn phương pháp TACE – nhẹ nhàng, ít xâm lấn nhưng hiệu quả trong điều trị ung thư gan. Đây là hướng đi an toàn, phù hợp đặc điểm người bệnh”.

Hình ảnh khối u bắt thuốc tròn đều sau can thiệp.
Ca can thiệp được tiến hành thành công vào ngày 04/8. Hiện sức khỏe ông C. ổn định, sinh hoạt bình thường, dự kiến xuất viện vào ngày 9/9/2025. Chia sẻ niềm vui, ông nói: “Tôi biết Bệnh viện đã có nhiều ca UNG THƯ GAN điều trị bằng phương pháp TACE thành công nên rất tin tưởng. Giờ sức khỏe tôi dần hồi phục, cảm ơn bác sĩ đã tận tâm điều trị”.
Theo các hướng dẫn của nhiều hiệp hội Gan-mật-tụy cả trong và ngoài nước, TACE là một trong những phương pháp hữu hiệu với người bệnh ung thư biểu mô tế bào gan, đặc biệt khi việc phẫu thuật là không khả thi. Nếu theo dõi chặt chẽ sau can thiệp (Tái khám và được theo dõi hình ảnh định kỳ mỗi 03 tháng), TACE không chỉ giúp kiểm soát bệnh mà còn hướng đến mục tiêu cải thiện chất lượng cuộc sống, kéo dài thời gian sống còn của người bệnh

Người bệnh T.H.C. tỉnh táo sau bằng phương pháp can thiệp nút mạch hóa chất (TACE) điều trị ung thư gan.
Trường hợp của ông C. là minh chứng cho sự phát triển của kỹ thuật can thiệp hiện đại tại Bệnh viện Đa khoa Trung ương Quảng Nam, mở thêm hy vọng cho nhiều người bệnh ung thư gan trong khu vực.
Tin bài: Khoa Huân – Tổ CTXH














